WhatsApp:+8614775988935

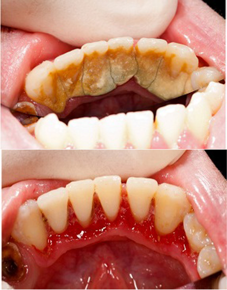
洗牙和補牙能一起做嗎?補牙和洗牙通常可以一起進行,但具體是否適合取決於個人的牙齒狀況。補牙主要用於修復蛀牙或牙齒缺損,而洗牙則是清除牙結石和牙菌斑的常規保健。 在大多數情況下,牙醫會建議先洗牙再補牙,以確保補牙區域清潔,提高治療效果和持久性。

洗牙和補牙是否能一起做,需根據患者的具體口腔狀況和醫生的評估來決定。以下是具體情況分析:
可以一起做的情況:
口腔健康狀況良好:若患者牙齦無明顯炎癥,牙石和菌斑較少,牙齒齲壞程度較輕(如淺齲),且齲洞位置便於操作,通常可以先洗牙清除牙石和菌斑,再進行補牙,這樣能為補牙創造清潔的環境,減少感染風險,也能提高補牙效果。
輕度牙齦炎癥且穩定:若存在輕度牙齦炎或牙周炎,但炎癥處於穩定期,洗牙過程中出血較少,經醫生評估後,也可在同一天先洗牙後補牙,一般不會引發嚴重問題。
不建議一起做的情況:
牙齦炎癥嚴重:若牙齦紅腫、出血明顯,或存在牙周膿腫等情況,洗牙可能會加重炎癥,且出血可能影響補牙材料的粘接效果,導致補牙失敗。此時需先進行牙周治療,待炎癥緩解後再補牙。

牙齒齲壞嚴重:若牙齒齲壞深度接近牙髓,或已引起牙髓感染、根尖周炎等,補牙前可能需要先進行根管治療等復雜操作。這種情況下,醫生通常會建議分階段治療,先處理牙髓問題,再進行補牙或後續修復。
凝血功能異常或系統性疾病:凝血功能較差的患者,洗牙時出血可能難以控製;患有高血壓、糖尿病、心臟病等系統性疾病且控製不佳的患者,身體抵抗力和恢復能力較弱,同時進行洗牙和補牙可能增加風險。此類患者需在病情穩定、經醫生評估後,再決定治療方案。
需註意的是,是否能同時進行洗牙和補牙,需由專業醫生通過口腔檢查和評估後確定。患者就診時應如實告知醫生自己的口腔狀況和健康史,以便醫生製定合適的治療計劃。
深港市民即日起至2025年12月31日前 前往深圳愛康健口腔醫院及12間愛康健齒科連鎖門店即可享優惠:超聲波保健洗牙 60元/次、菌斑導向專業潔牙158元/次、根管治療 8.5折、進口種植牙3680元起/顆,美國常規樹脂補牙首顆半價(原價300元/顆;其他補牙7.5折;非牙髓治療,每個客戶只能享受一次首顆半價)、牙周治療8折、牙周刮治首顆半價(原價300元/牙,第二顆起按門店優惠執行)、尚白冷光美白牙 980元/全口、生物合金烤瓷牙 880元/顆、鋯美全瓷牙 1680元/顆、格萊美全瓷牙 2580元/顆、E·max美學瓷貼面 1980元/顆、如您想約愛康健洗牙,請通過以下方式進行在線掛號登記即可!

————————————
在線預約<-愛康健口腔->掛號方式如下:
WhatsApp:+86 14775988935
香港官方熱線:00852-62157070
大陸咨詢熱線:0755-61302632
愛康健香港官網【在線預約掛號】
————————————
補牙和根管治療有什麼區別?深圳愛康健補牙多少錢?杜牙根收費幾多?
2蛀牙可以拖幾耐先補?唔補會點?深圳補牙幾錢一隻?愛康健常規樹脂補牙首顆半價!
3補牙和種植牙有什麼區別?愛康健口腔種牙和補牙香港醫療券能用嗎
4深圳正規醫院補一顆牙要多少錢?愛康健齒科3M常規樹脂補牙首顆半價(原價300元/顆)
5蛀牙補牙修復多少錢一顆?深圳愛康健牙科樹脂補牙首顆半價(原價300元/顆;第二顆起7.5折)
6門牙磕掉一半還能補嗎?深圳愛健康常規樹脂補牙首顆半價,根管治療8.5折,鋯美全瓷牙1680元/顆,E·max瓷貼面1980元/顆
7補牙為何首選樹脂補牙材料|深圳愛康健王琦口腔診所3M常規樹脂補牙150元(原價300元/顆,第二顆7.5折)
8補牙洗牙怎麼選更合適?深圳愛康健齒科洗牙和補牙一起大概多少錢
補牙和根管治療有什麼區別?深圳愛康健補牙多少錢?杜牙根收費幾多?
2香港長者去深圳杜牙根,能用醫療券嗎?杜牙根價錢收費幾多?
3蛀牙可以拖幾耐先補?唔補會點?深圳補牙幾錢一隻?愛康健常規樹脂補牙首顆半價!
4補牙和種植牙有什麼區別?愛康健口腔種牙和補牙香港醫療券能用嗎
5根管治療多少錢一顆牙?深圳愛康健齒科根管治療8.5折,支持用香港醫療券支付
6深圳正規醫院補一顆牙要多少錢?愛康健齒科3M常規樹脂補牙首顆半價(原價300元/顆)
7蛀牙補牙修復多少錢一顆?深圳愛康健牙科樹脂補牙首顆半價(原價300元/顆;第二顆起7.5折)
8門牙磕掉一半還能補嗎?深圳愛健康常規樹脂補牙首顆半價,根管治療8.5折,鋯美全瓷牙1680元/顆,E·max瓷貼面1980元/顆
咨詢電話: 0755-61302632(大陸)
00852-62157070(香港)
WhatsApp: +8614775988935
愛康健齒科香港網站:https://www.akjkqyy.com/
就診時間:周壹至周日 9:00-18:00(无节假日门诊)
就診地址:深圳市羅湖區火車站大廈C區1-8樓
微信小程序:爱康健齿科
WeChat咨詢